Table of Contents
Topic: Dopamine
This neurotransmitter signals reward prediction error, which influences how likely we are to make a choice again in the future.
Article Discussed
Daw, N. D., & Tobler, P. N. (2014). Value Learning through Reinforcement. In Neuroeconomics (pp. 283–298). https://doi.org/10.1016/B978-0-12-416008-8.00015-2
Brief Summary
The topic of this article examines the role of dopamine in the human body and how it affects the everyday lives of individuals and influences our decisions. The class had many thoughtful questions about the reading, and these critical questions were centered around the reward system that we see in animals, the genetic and environmental factors that affect the level and effectiveness of dopamine, and how learning is associated with the positive reinforcement of dopamine. The classroom discussion was centered around examining how illegal drugs influenced the motivation for people to accomplish tasks, but it also looked at the difference in drive between these illegal drugs and the natural drug: dopamine.
This summary includes the answers to two questions that did not get a response in the classroom discussion. The first question involved speculation over what an animal’s dopamine recording would look like in comparison to the fMRI output of a human participant.
The second question asked to know about any breakthroughs in the medical field that are allowing scientists to eradicate the numerous disorders that are caused by or related to dopamine.
Aside from the two unanswered questions above, everything else received a response and answered the critical reading questions submitted by the students. The wide range of questions and answers provides a solid foundation for understanding dopamine and its role in the human body.
Cognitive Process Neuroimaging Analysis
Neurosynth term: “Dopamine”
Top 5 Pubmed articles
Li H, Jia Y, Peng H, Li J. Recent developments in dopamine-based materials for cancer diagnosis and therapy. Adv Colloid Interface Sci. 2018 Feb;252:1-20. doi: 10.1016/j.cis.2018.01.001. Epub 2018 Jan 31. Review. PubMed PMID: 29395035.
Navarro J, Galbán J, Marcos S. A label-free platform for dopamine biosensing. Bioanalysis. 2018 Jan;10(1):11-21. doi: 10.4155/bio-2017-0161. Epub 2017 Dec 15. PubMed PMID: 29243492.
Mamaligas AA, Ford CP. Revealing a Role for NMDA Receptors in Regulating STN Inputs following the Loss of Dopamine. Neuron. 2017 Sep 13;95(6):1227-1229. doi:10.1016/j.neuron.2017.08.041. PubMed PMID: 28910611.
Aşır S, Sarı D, Derazshamshir A, Yılmaz F, Şarkaya K, Denizli A. Dopamine-imprinted monolithic column for capillary electrochromatography. Electrophoresis. 2017 Nov;38(22-23):3003-3012. doi: 10.1002/elps.201700228. Epub 2017 Aug 30. PubMed PMID: 28786521.
Dimić D, Milenković D, Dimitrić Marković J, Marković Z. Antiradical activity of catecholamines and metabolites of dopamine: theoretical and experimental study. Phys Chem Chem Phys. 2017 May 24;19(20):12970-12980. doi:10.1039/c7cp01716b. PubMed PMID: 28480927.
Top 5 Neurosynth articles
Arnold, C., Gispert, S., Bonig, H., von Wegner, F., Somasundaram, S., & Kell, C. A. (2016). Dopaminergic Modulation of Cognitive Preparation for Overt Reading: Evidence from the Study of Genetic Polymorphisms. Cerebral Cortex (New York, N.Y.: 1991), 26(4), 1539–1557. https://doi.org/10.1093/cercor/bhu330
Reed, J. L., D’Ambrosio, E., Marenco, S., Ursini, G., Zheutlin, A. B., Blasi, G., … Callicott, J. H. (2018). Interaction of childhood urbanicity and variation in dopamine genes alters adult prefrontal function as measured by functional magnetic resonance imaging (fMRI). PloS One, 13(4), e0195189. https://doi.org/10.1371/journal.pone.0195189
Baik, K., Cha, J., Ham, J. H., Baek, G.-M., Sunwoo, M. K., Hong, J. Y., … Lee, P. H. (2014). Dopaminergic modulation of resting-state functional connectivity in de novo patients with Parkinson’s disease. Human Brain Mapping, 35(11), 5431–5441. https://doi.org/10.1002/hbm.22561
Hershey, T., Black, K. J., Hartlein, J. M., Barch, D. M., Braver, T. S., Carl, J. L., & Perlmutter, J. S. (2004). Cognitive-pharmacologic functional magnetic resonance imaging in tourette syndrome: a pilot study. Biological Psychiatry, 55(9), 916–925. https://doi.org/10.1016/j.biopsych.2004.01.003
da Silva Alves, F., Bakker, G., Schmitz, N., Abeling, N., Hasler, G., van der Meer, J., … van Amelsvoort, T. (2013). Dopaminergic modulation of the reward system in schizophrenia: a placebo-controlled dopamine depletion fMRI study. European Neuropsychopharmacology: The Journal of the European College of Neuropsychopharmacology, 23(11), 1577–1586. https://doi.org/10.1016/j.euroneuro.2013.06.008
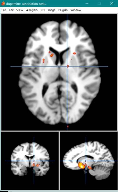
Neurosynth Map for Dopamine
Reverse inference maps in NeuroSynth with search terms (a) reward and… (n.d.). Retrieved February 18, 2019, from https://www.researchgate.net/figure/Reverse-inference-maps-in-NeuroSynth-with-searc h-terms-a-reward-and-b-dopaminergic_fig2_284786249
Neurosynth Coordinate Associations
| Individual voxel | Seed-based network | |||
|---|---|---|---|---|
| Name | z-score | Posterior prob. | Func. conn. ® | Meta-analytic coact. ® |
| **ventral tegmental** | 20.53 | 0.96 | 0.37 | 0.63 |
| tegmental | 20.38 | 0.96 | 0.37 | 0.62 |
| midbrain | 14.34 | 0.92 | 0.43 | 0.6 |
| **substantia** | 13.11 | 0.94 | 0.38 | 0.67 |
| reward | 11.42 | 0.85 | 0.25 | 0.47 |
| **dopaminergic** | 8.87 | 0.88 | 0.27 | 0.57 |
| periaqueductal | 8.38 | 0.91 | 0.27 | 0.35 |
| **striatum** | 7.91 | 0.8 | 0.22 | 0.4 |
| **monetary** | 7.29 | 0.84 | 0.16 | 0.38 |
| **nucleus** | 6.89 | 0.79 | 0.32 | 0.46 |
Questions posed by the class
Background vocabulary
Q: What is Voltammetry
Voltammetry is a technique used to detect neurochemicals capable of undergoing oxidation reactions. (“Voltammetry - an overview | ScienceDirect Topics,” n.d.) -IsotopeNirvana
Basically, a certain chemical is measured (so like, neurochemicals such as dopamine), by measuring the current at different electrical potentials. I’m also entirely unsure how they would do this within neuroscience; Wikipedia just explains a three electrode model in the context of chemical solutions. There are also a ton of different types of voltammetry that have different electrode models or methods for applying potential…really not sure about this one. (“Voltammetry,” 2018) AmbientBenefit
Q: What is the argmax operation of economics?
OptionTemple: the points of the domain of some function at which the function values are maximized.
Q: What does second order conditioning mean?
CoolActive:
Second-Order conditioning involves pairing a neutral stimulus with a conditioned stimulus that has gained its effectiveness by previously being paired with an unconditioned stimulus
AmbientBenefit: Just to clarify this more, first order pavlovian conditioning is when learning takes place by pairing a conditioned stimulus with an unconditioned stimulus that is intrinsically motivating, like food or an electric shock. Second order conditioning is when a conditioned stimulus is paired with an stimulus that has acquired motivational value. (Gewirtz & Davis, 2000)
For example, if you have previously been hit by a bus when making a left turn, the fear of being hit by a bus is first order conditioning, while fear of making a left turn would be second order conditioning. Making left turns previously had no motivational value, but this value was acquired after being hit by a bus.
Q: When it is stated that “human fMRI experiments have shown prediction-error correlates in the striatal blood oxygen level dependent (BOLD) response resembling those seen in animal dopamine recordings”, how do fMRI BOLD response readings look the same as animal dopamine recordings? What would an animal dopamine recording look like?
Answer:
The gene TH is present in humans, but not other animals. This puzzles scientists because they have difficulty understanding its effects on the dopamine system in humans and how the lack of it affects the dopamine system in animals. In terms of what an animal dopamine recording would like, there aren’t any definitive differences in the recordings other than the effects of TH. THe differences and similarities also differ by types of readings.
Jonckers, E., Shah, D., Hamaide, J., Verhoye, M., & Van der Linden, A. (2015). The power of using functional fMRI on small rodents to study brain pharmacology and disease. Frontiers in
Pharmacology, 6 . h ttps://doi.org/10.3389/fphar.2015.00231
Velasco, C. (2017, November 24). Dopamine Is The Reason Why Humans Are So Unique From Other Animals. Retrieved February 18, 2019, from https://www.techtimes.com/articles/216122/20171124/dopamine-is-the-reason-why-h umans-are-so-unique-from-other-animals.htm
Q: What is the Rescorla-Wagner rule? Also, who created this rule?
BanditMeter:
“A formal model of the circumstances under which Pavlovian conditioning occurs. It attempts to describe the changes in associative strength (V) between a signal (conditioned stimulus, CS) and the subsequent stimulus (unconditioned stimulus, US) as a result of a conditioning trial.” Rescorla and Wagner created this model in 1972
Q: What is a Rescorla-Wagner prediction error and how can it be used to predict the responses of the dopamine neurons?
SincereZigzag:
- The Rescorla–Wagner model was formulated primarily to provide a trial-by-trial description of how the associative status of a conditioned stimulus (CS) changes when the stimulus is trained (e.g., paired with an unconditioned stimulus [US]) in the presence of other CSs.
- The phasic activity of midbrain dopamine neurons encodes a reward prediction error used to guide learning throughout the frontal cortex and the basal ganglia.
- Two different responses from dopamine—one at the reward delivery, which happens only early in the session, and a second at the visual cue, which happens only late in the session.
- Example: Returning to the Rescorla–Wagner equation,
Consider an animal trying to learn the value of pressing a lever that yields four pellets of food with a probability of 0.5. Because, in one-half of all trials, the animal is rewarded and in one-half, he is not and because all rewards have a value of four, we know exactly what this equation will do. If α has a value of one, A will bounce up and down between zero and four; if α is infinitely small, A will converge to two. That is striking, because two is the long-run average, or expected, value of pressing the lever. Therefore, in an environment that does not change, when α is small, this equation converges to the expected value of the action.
Q: Can someone simplify and explain the temporal difference model?
“The temporal difference model has been proposed as a model for Pavlovian conditioning, in which an animal learns to predict delivery of a reward following presentation of a conditioned stimulus” AmbientBenefit (O’Doherty, Dayan, Friston, Critchley, & Dolan, 2003)
Q: I am not sure what the following sentence means, “phasic dopamine signals would serve reinforcement learning whereas tonic dopamine levels in the striatum would facilitate movement?” What do phasic and tonic mean in this context?
ZeroCanary: “Behaviorally relevant stimuli are proposed to cause short-term activation of dopamine cell firing to trigger the phasic component of dopamine release. In contrast, tonic dopamine release is proposed to regulate the intensity of the phasic dopamine response through its effect on extracellular dopamine levels.”
Nervous System Pathways
Q: “As a net effect, all these drugs lead to increased dopamine levels in the ventral striatum and other areas, and this is believed to underlie their addictive action.” Where specifically is the ventral striatum?
Looking at this photo, the ventral striatum is the pink dot. It’s primary input is to the basal ganglia and it is closely related to decision making, risk, and reward.
Ambient Benefit
Q: What is the function of the retrorubral nucleus?
The retrorubral field is the area caudal and lateral to the red nucleus in the midbrain reticular formation. It is also home to a large portion of dopaminergic cells of the A8 cell group. -SodaOxford
Q: What does dopamine do in the striatum region to make it produce movement impairments such as Parkinsons disease?
“In Parkinson's disease, neurons of the substantia nigra progressively degenerate4 ( Fig. 1) ; as a result, the amount of DA available for neurotransmission in the corpus striatum is lowered.5 T he biochemical imbalance manifests with typical clinical symptoms that include resting tremor, rigidity, bradykinesia, i.e., a gradual slowness of spontaneous movement, and loss of postural reflexes or, in other words, poor balance and motor coordination”
- The substantia nigra makes dopamine
- L-dopa can replace dopamine but is detrimental & toxic to your body
Mobilesuper
Q: What other neurotransmitters play a key role in physical processes, in addition to mental processes, such as how dopamine is found to be necessary for movement?
Serotonin is another important neurotransmitter in physical as well as mental processes. Its mental effects include mood and social behavior regulation. The physical processes it controls are appetite and digestion, sleep, memory, and sexual desire. Because of these influences, this neurotransmitter is known to be closely related to depression. -Polobravo
Increased BDNF in the hippocampus, seemingly necessary for enhanced neurogenesis in the hippocampus as well as “for the improvement of hippocampal-dependent learning induced by
exercise”, has been shown to increase in response to exercise in rats 1. Multiple neurotransmitters functionality seem to improve with exercise. -VideoSport
Q: Is dopamine the only thing involved in the reward system?
Although dopamine is unequivocally the dominant neurotransmitter involved in the reward system, it isn’t the sole source for pleasure and reward. Studies have shown that serotonin has a major impact on the reward system as well. Furthermore, there have been other studies that have concluded that animals, such as mice, can actually still experience pleasure even without dopamine in their bodies. Because of this, it is theorized that other neurotransmitters effectively induce pleasure, and it isn’t all based on dopamine alone.
-DecimalSponsor
Implication of Dopamine
Q: Do all species have the same ratio of dopamine in their brains compared to other neurotransmitters? For example, does one species have way more dopamine in their brain compared to another species who typically has very little dopamine?
“Among the mammals, considering the whole brain, the amount of dopamine receptor per unit of tissue decreases with increasing evolution… Dopamine receptor density in limbic areas increases from mice to monkeys.” - RespondLlama
Q: Do we know if low levels of dopamine can be genetic?
PolarisUnique: “These results suggest that genetic variation in the dopamine system influences learning and its modulation by L-Dopa.” Pearson-Fuhrhop et al., 2013
Here is an article on Dopamine Deficiency Syndrome, a rare hereditary condition that affects children’s ability to move and function. The genetic disorder is caused by mutations to the SLC6A3 gene. This gene is involved in the creation of the dopamine transporter protein. This protein controls how much dopamine is transported from the brain into different cells.
ShelfOpus
Paint Level: In an investigation into the genes involved in dopamine transmission as it relates to Schizophrenia, no definitely correlates were identified, thus leading the authors to the conclusion that more genetics associated studies are necessary to detect a genetic component to DA function and dysfunction.
Q: is there a difference in dopamine levels in the brains of “risk takers” (people who are more likely to make a decision where the outcome is less certain) than in the brains of “safe” people (people who are more likely to make a decision where the outcome is almost 100% certain)?
RavioliJaguar: “ Risk-takers” are more willing to explore options that will either result in a high payoff or potential a high loss where as “safe” individuals would be more willing to make a decision if they are sure of the outcome. From the literature I am reading, there is no difference in the dopamine levels when both risk takers and safe people are getting the reward they predicted even though one group is more willing to make decisions where the positive outcome is less certain. There would be a difference in dopamine level if there was a disease or lesion to the areas of dopamine receptors such as Parkinson’s. In cases like this, levels of dopamine do vary when those with damage to dopaminergic areas feel satisfaction and reward.
Q: Dopamine seems to be a primary factor in nearly every disorder studied, with a wide range of types of disorders. However, research on dopamine regulation does not seem to match the depth of knowledge that scientists have about the disorders themselves. Are there breakthroughs being made involving dopamine regulation in science/medicine?
Answer:
Stem cells are being used in Schizophrenic patients to help regulate dopamine neuron activity. Scientists at UT Health San Antonio hope that restoring interneuron function in the hippocampus and/or prefrontal cortex may be an effective treatment strategy for schizophrenia.
Velasco, C. (2017, November 24). Dopamine Is The Reason Why Humans Are So Unique From Other Animals. Retrieved February 18, 2019, from https://www.techtimes.com/articles/216122/20171124/dopamine-is-the-reason-why-humans-a re-so-unique-from-other-animals.htm
Q: Is the release of dopamine also the reason why some become “reinforced” to do drugs?
It definitely plays a significant role in this “reinforcement” process. Drug users begin to pick up on various cues they’ve almost subconsciously associated with the drug use and more importantly its desired effects (Adinoff, 2004). Once detected, this triggers the reward system to seek out this drug which is then followed by an increase in the release of dopamine. This process continues over and over.
-TelecomElegant
Q: “As a net effect, all these drugs lead to increased dopamine levels in the ventral striatum and other areas, and this is believed to underlie their addictive action.” Does dopamine play a role in why some drugs are more addictive than others?
WelcomeSoda:
The dopamine that is released when people take drugs is a primary cause of addiction because people become addicted to the pleasurable feelings that dopamine released due to drugs can cause. With long-term or consistent drug use, dopamine receptors in the brain shut down and people need more of a drug to get the same pleasurable feeling that they did the first time they did that drug. Some drugs cause a greater release of dopamine than others which is part of what makes a drug more or less addictive. Some other drugs work in different ways to create a feeling of pleasure in the brain. These other drugs can also be extremely addictive.
Q: Why does our brain get addicted to excessive amounts of dopamine? Is there a way for our brain to naturally balance? For addiction treatment how is this treated?
Drugs interfere with how our neurons send, receive, and process neurotransmitters. Certain drugs, such as marijuana and heroin, will activate neurons because their chemical structures resemble those of neurotransmitters found naturally in our body. This enables drug to attach onto neurons and activate them. These drugs basically send out abnormal messages through the brain’s network. Normal communication between neurons can also be disrupted or enhanced by neurons releasing excessive amounts of natural neurotransmitters or preventing the recycling of these brain chemicals by interfering with transporters. To simplify, addiction treatment focuses on fixing and focusing on the body’s natural process of producing neurotransmitters, instead of “fake” neurotransmitters that are created through the use of drugs. Scientists now think that dopamine is more involved with getting people to repeat “pleasurable” activities than producing feelings of euphoria typically linked to drug use. -WindowComrade
Learning and the Reward System
Q: How does prediction error vary by age? (Prediction error is basically the difference between the experienced reward and the previous reward/reward expected)
● A study showed that prediction error reduces with age (from adulthood to old age, not from child to adult) although reward outcome does not. Older adults show deficits in feedback-driven reinforcement learning.
DivideSegment
Q: How does learning rate impact decision making? If you have a faster learning rate will you be a better decision maker?
Learning rate is the speed at which a learning task is acquired. It is linked to an increase in working memory capacity, as well as a higher overall intelligence. To answer this question, it is useful to define what type of decision making is being done. Individuals with a faster learning rate perform better when in time-constrained decision-making in a volatile environment while seeking a reward. However, long-term decision-making weighing future impacts and cost/benefit analysis is not impacted by learning rate, as these are more effortful tasks that do not rely on a fast learning rate.
MileImport
Q: Parkinson’s disease is related to the degeneration of dopamine receptors in the brain and therefore affects motor functions in patients who have it. Does it also affect their ability to feel satisfaction and reward because these nerves and receptors play a role in that?
One study demonstrates that they have some impairment in recognizing emotion in others,
potentially related to issues of emotional processing. 2 -VideoSport
30-40% of Parkinson’s patients suffer from depression 3, although it is unclear how much is from dopamine receptor degeneration, and how much is from the difficult emotional and social implications of having the disease. - VideoSport
Q: Do people with “reward system” damage always have issues favoring the better option?
optiontemple:
motivation in diseases like parkinson’s isn’t mediated normally but in more of a “tonic” level of dopamine. Phasic dopamine signals do reinforcement whereas tonic do motivation (Daw, Tobler, 2014)
Q: Could cocaine or other drugs more legal drugs be used to help change behavior for instance if people hate working out?
Let’s assume that cocaine would make you feel more motivated to do just about anything, but only in the short term, and with lots of bad side effects. Cocaine stimulates rats with low intrinsic motivation to run more.
However, cocaine apparently has no effect on actual performance, at least in a narrowly physiological sense: “Cocaine and other sympathomimetic drugs have little or no effect on athletic performance.”
I looked for studies about boosting dopamine levels using other means (I searched for “dopamine agonist athletic performance” in pubmed) and found an article that tested the effects of administering a dopamine precursor on how long it took athletes to become exhausted. The idea is that your neurons can synthesize more dopamine if there is a lot of the precursor in your system. The dopamine precursor was L-DOPA, which is also used to treat Parkinson’s Disease. Sadly, the study found that L-DOPA did not increase time to exhaustion.
AnthonyCate
Q: Wouldn’t the variation between subjects’ ability to plan for the future be a confound for the experimental link between dopamine and learning?
I believe that planning and learning would be two different variables and not necessarily and associative relationship in the context of the experiment. For example, the study I found performed fMRI of individuals while performing a task indicative of planning and found that the medial temporal lobe, midline structures, and executive control regions in lateral prefrontal and parietal cortex and caudate were all active during this exercise. This leads me to believe that there is a different brain circuitry involved in planning, separate from the dopamine system. Therefore, I would think that the ability to plan for the future would be different from the concept of dopamine and learning.
-SocialAnvil
Q: Can politicians use this to predict people's behavior in a way that will help them win elections?
- “Based on this large literature linking the dopamine D2 receptor and DRD2 gene to the formation of social attachments and cognitive functions, two prominent variables in theories of partisanship, we theorize that individuals with the A2 allele of the DRD2 gene are significantly more likely to identify themselves as a partisan. However, a note of caution is necessary at the outset. Finding a clear link between particular genes and
behaviors has been notoriously difficult and any true causal story is likely to be complex.”
- This article is saying that although dopamine receptors and nerve cells in the brain that are responsible for processing information could potentially play a role in how a person votes, there is no clear pathway for determining it and that if there is any association, there will need to be further research to confirm.
- RespondLlama
Q: Why do people sometimes make decisions which lack reward or cause punishment (or both)?
ExactTulip: “Rewards shape our behavior. Out of a vast space of possible actions, the prospect of a reward helps us select those actions that will lead to the most and best rewards, and motivates us to carry out those actions (Bhanji & Delgado, 2014).”
This article looks into the behavioral motivators behind decision making. While some decisions may seem like they lack reward or cause punishment, more often than not, there is some type of reward in the choice, but a lack in judgement of the person making the decision to determine if the reward outweighs the risk or punishment involved. One example I can think of would be skipping work/class to go spend time with friends or catch up on a few hours of sleep. While downsides to this decision would be potentially losing a job or missing out on information learned in class, the person making that decision would justify their actions by getting a higher “reward” for themselves by spending time with friends or sleeping, and are thus willing to make those choices.
Bibliography
Voltammetry - an overview | ScienceDirect Topics. (n.d.). Retrieved February 12, 2019, from https://www.sciencedirect.com/topics/neuroscience/voltammetry
Second-order conditioning – APA Dictionary of Psychology. (n.d.). Retrieved February 12, 2019, from https://dictionary.apa.org/second-order-conditioning
Robert Rescorla (2008) Rescorla-Wagner model. Scholarpedia, 3(3):2237.
Glimcher, P. W. (2011). Understanding dopamine and reinforcement learning: The dopamine reward prediction error hypothesis. Proceedings of the National Academy of Sciences, 108(Supplement 3), 15647–15654. https://doi.org/10.1073/pnas.1014269108
Grace, A A. “Phasic versus Tonic Dopamine Release and the Modulation of Dopamine System Responsivity: A Hypothesis for the Etiology of Schizophrenia.” Current Neurology and Neuroscience Reports. U.S. National Library of Medicine, n.d. Web. 12 Feb. 2019.
BrainInfo. (n.d.). Retrieved February 12, 2019, from http://braininfo.rprc.washington.edu/centraldirectory.aspx?ID=1049
Frazer, A., & Hensler, J. G. (1999). Serotonin Involvement in Physiological Function and Behavior. Basic Neurochemistry: Molecular, Cellular and Medical Aspects. 6th Edition. Retrieved from https://www.ncbi.nlm.nih.gov/books/NBK27940/
Dopamine is NOT your brain’s reward chemical. (2017, September 28). Retrieved February 12, 2019, from https://neuwritesd.org/2017/09/28/dopamine-is-not-your-brains-reward-chemical/
Covelli, V., Memo, M., Spano, P. F., & Trabucchi, M. (1981). Characterization of dopamine receptors in various species of invertebrates and vertebrates. Neuroscience, 6(10), 2077–2079. https://doi.org/10.1016/0306-4522(81)90046-4
Dopamine Deficiency Syndrome: Symptoms, Causes, and More. (2016, July 7). Retrieved February 12, 2019, from https://www.healthline.com/health/dopamine-deficiency
Talkowski, M., Bamne, N., Mansour, H., & Nimganokar, V. (2007). Dopamine genes and schizophrenia: case closed or evidence pending? Schizophrenia Bulletin, 33(5), 1071-1081.
Clark, C. A., & Dagher, A. (2014). The role of dopamine in risk taking: a specific look at Parkinson’s disease and gambling. Frontiers in Behavioral Neuroscience, 8. https://doi.org/10.3389/fnbeh.2014.00196
Carpenter, J. P., Garcia, J. R., & Lum, J. K. (2011). Dopamine receptor genes predict risk preferences, time preferences, and related economic choices. Journal of Risk and Uncertainty, 42(3), 233–261. //https://doi.org/10.1007/s11166-011-9115-3//
Adinoff, B. (2004). Neurobiologic Processes in Drug Reward and Addiction. Harvard Review of Psychiatry, 12(6), 305–320. https://doi.org/10.1080/10673220490910844
Rossetti, Z. L., Hmaidan, Y., & Gessa, G. L. (1992). Marked inhibition of mesolimbic dopamine release: A common feature of ethanol, morphine, cocaine and amphetamine abstinence in rats. European Journal of Pharmacology,221(2-3), 227-234. doi:10.1016/0014-2999(92)90706-a
(Abuse, N. I. on D. (n.d.). Drugs and the Brain. Retrieved February 12, 2019, from brain)
Samanez-Larkin, G. R., Worthy, D. A., Mata, R., McClure, S. M., & Knutson, B. (2014). Adult age differences in frontostriatal representation of prediction error but not reward outcome. Cognitive, Affective & Behavioral Neuroscience, 14(2), 672–682. https://doi.org/10.3758/s13415-014-0297-4
Iigaya K. (2016). Adaptive learning and decision-making under uncertainty by metaplastic synapses guided by a surprise detection system. eLife, 5, e18073. doi:10.7554/eLife.18073
Brown, J. D., Green, C. L., Arthur, I. M., Booth, F. W., & Miller, D. K. (2015). Cocaine-induced locomotor activity in rats selectively bred for low and high voluntary running behavior. Psychopharmacology, 232(4), 673–681. https://doi.org/10.1007/s00213-014-3698-8
Wagner, J. C. (1991). Enhancement of athletic performance with drugs. An overview. Sports Medicine (Auckland, N.Z.), 12(4), 250–265. https://doi.org/10.2165/00007256-199112040-00004
Meeusen, R., Roeykens, J., Magnus, L., Keizer, H., & De Meirleir, K. (1997). Endurance performance in humans: the effect of a dopamine precursor or a specific serotonin (5-HT2A/2C) antagonist. International Journal of Sports Medicine, 18(8), 571–577. https://doi.org/10.1055/s-2007-972683
Spreng, R. N., Gerlach, K. D., Turner, G. R., & Schacter, D. L. (2015). Autobiographical Planning and the Brain: Activation and Its Modulation by Qualitative Features. Journal of Cognitive Neuroscience, 27(11), 2147-2157. doi:10.1162/jocn_a_00846
Dawes, C. T., & Fowler, J. H. (2009). Partisanship, Voting, and the Dopamine D2 Receptor Gene. The Journal of Politics, 71(3), 1157–1171. https://doi.org/10.1017/S002238160909094X
Bhanji, J. P., & Delgado, M. R. (2014). The Social Brain and Reward: Social Information Processing in the Human Striatum. Wiley Interdisciplinary Reviews. Cognitive Science, 5(1), 61–73. https://doi.org/10.1002/wcs.1266
Jonckers, E., Shah, D., Hamaide, J., Verhoye, M., & Van der Linden, A. (2015). The power of using functional fMRI on small rodents to study brain pharmacology and disease. Frontiers in Pharmacology, 6 . https://doi.org/10.3389/fphar.2015.0023 1
Li H, Jia Y, Peng H, Li J. Recent developments in dopamine-based materials for cancer diagnosis and therapy. Adv Colloid Interface Sci. 2018 Feb;252:1-20. Doi: 10.1016/j.cis.2018.01.001. Epub 2018 Jan 31. Review. PubMed PMID: 29395035.
Navarro J, Galbán J, Marcos S. A label-free platform for dopamine biosensing. Bioanalysis. 2018 Jan;10(1):11-21. doi: 10.4155/bio-2017-0161. Epub 2017 Dec 15. PubMed PMID: 29243492.
Mamaligas AA, Ford CP. Revealing a Role for NMDA Receptors in Regulating STN Inputs following the Loss of Dopamine. Neuron. 2017 Sep 13;95(6):1227-1229. Doi: 10.1016/j.neuron.2017.08.041. PubMed PMID: 28910611.
Aşır S, Sarı D, Derazshamshir A, Yılmaz F, Şarkaya K, Denizli A. Dopamine-imprinted monolithic column for capillary electrochromatography. Electrophoresis. 2017 Nov;38(22-23):3003-3012. doi: 10.1002/elps.201700228. Epub 2017 Aug 30. PubMed PMID: 28786521.
Dimić D, Milenković D, Dimitrić Marković J, Marković Z. Antiradical activity of catecholamines and metabolites of dopamine: theoretical and experimental study. Phys Chem Chem Phys. 2017 May 24;19(20):12970-12980. Doi: 10.1039/c7cp01716b. PubMed PMID: 28480927.
Arnold, C., Gispert, S., Bonig, H., von Wegner, F., Somasundaram, S., & Kell, C. A. (2016). Dopaminergic Modulation of Cognitive Preparation for Overt Reading: Evidence from the Study of Genetic Polymorphisms. Cerebral Cortex (New York, N.Y.: 1991), 26(4), 1539–1557. https://doi.org/10.1093/cercor/bhu330
Reed, J. L., D’Ambrosio, E., Marenco, S., Ursini, G., Zheutlin, A. B., Blasi, G., … Callicott, J. H. (2018). Interaction of childhood urbanicity and variation in dopamine genes alters adult prefrontal function as measured by functional magnetic resonance imaging (fMRI). PloS One, 13(4), e0195189. https://doi.org/10.1371/journal.pone.0195189
Baik, K., Cha, J., Ham, J. H., Baek, G.-M., Sunwoo, M. K., Hong, J. Y., … Lee, P. H. (2014). Dopaminergic modulation of resting-state functional connectivity in de novo patients with Parkinson’s disease. Human Brain Mapping, 35(11), 5431–5441. https://doi.org/10.1002/hbm.22561
Hershey, T., Black, K. J., Hartlein, J. M., Barch, D. M., Braver, T. S., Carl, J. L., & Perlmutter, J. S. (2004). Cognitive-pharmacologic functional magnetic resonance imaging in tourette syndrome: a pilot study. Biological Psychiatry, 55(9), 916–925. https://doi.org/10.1016/j.biopsych.2004.01.003
da Silva Alves, F., Bakker, G., Schmitz, N., Abeling, N., Hasler, G., van der Meer, J., … van Amelsvoort, T. (2013). Dopaminergic modulation of the reward system in schizophrenia: a placebo-controlled dopamine depletion fMRI study. European Neuropsychopharmacology: The Journal of the European College
Date of summary document
2019-02-17




